CABINET DENTAIRE DU DR STÉPHANE LUC-SEBAOUN
DENTISTE PARIS 16
ACCUEIL
LE CABINET
CAS CLINIQUE
IMPLANTOLOGIE
ESTHÉTIQUE
PROTHÈSES
ÉQUIPEMENT
ACCÈS
ENGLISH
QUESTIONNAIRE PRÉ-RDV
FACEBOOK
INSTAGRAM
CONTACT
56 avenue KLEBER, 75116 Paris
+33 1 47 04 41 41
CABINET DENTAIRE DU DR STÉPHANE LUC-SEBAOUN
DENTISTE PARIS 16
ACCUEIL
LE CABINET
CAS CLINIQUE
IMPLANTOLOGIE
ESTHÉTIQUE
PROTHÈSES
ÉQUIPEMENT
ACCÈS
ENGLISH
QUESTIONNAIRE PRÉ-RDV
FACEBOOK
INSTAGRAM
CONTACT
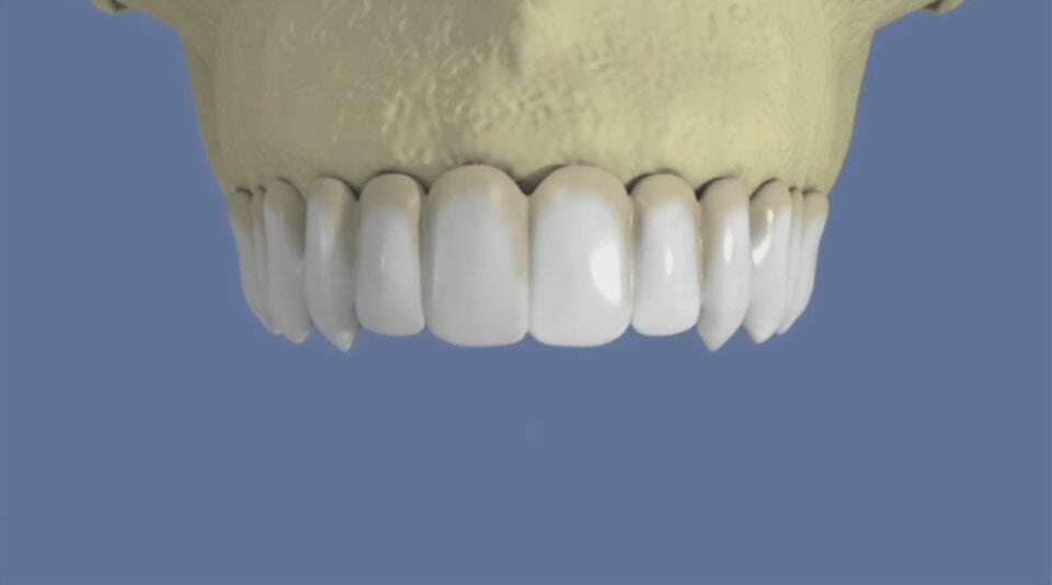
Maxillaire : bridge vissé sans fausse gencive
10 Fév 2025
Vidéos 3D
Partager
Twitter
Partager
Partager
Envoyer
Copier
CABINET DENTAIRE DU DR STÉPHANE LUC-SEBAOUN
+33 1 47 04 41 41
56 avenue KLEBER 75116 Paris
Liens
Politique de confidentialité et charte cookie
Mentions légales
Conditions Générales Utilisation
Charte déontologique
Ordre national
Annuaires chirurgiens dentistes
Coordonnées
Recherche
Rechercher dans le blog Blog
Création par
Connexion
Vidéo en cours de lecture