Blog
10 Fév 2025
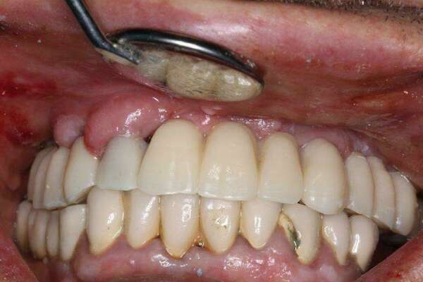
Intérêt des guides à étages dans les extractions-implantations
10 Fév 2025
Dans les traitements numériques de restauration dentaire, l’empreinte des dents se fait à l’aide d’une caméra qui filme les surfaces dentaires.
10 Fév 2025
Le scanner Cone Beam est une technique évoluée d’imagerie radiographique dont l’utilisation est en plein développement.
10 Fév 2025
Cette formation traite de la simplification de la dépose et de la maintenance de prothèses céramiques vissées par 4 mini vis sur une barre titane implantaire.
10 Fév 2025
Sans douleur, sans injection, sans aiguille, un procédé révolutionnaire, unique au monde, permettant la production naturelle de fibres d’élastine et de collagène par la peau.
Affichage des articles 1-12 sur 152
- Fiches conseils (110)
- Vidéos 3D (42)












