Une molécule active au service de votre peau
Blog - Page 2
Le blanchiment est une technique qui permet d’éclaircir la couleur interne des dents afin de leur redonner un éclat et une brillance plus attractives. Il existe différentes techniques pour blanchir les dents sans réaliser de prothèses (facettes ou couronnes). La technique la plus adaptée sera proposée après avoir réalisé un bilan complet de la bouche et du sourire du patient.
Extraction- Implantation – Mise en charge immédiate
Diamètre de la vis de cicatrisation inférieur au diamètre du col de l’implant, ayant pour résultat de conserver l’os au niveau du col implantaire, et d’empêcher ainsi la perte osseuse observée, habituellement, quelques mois après la mise en fonction de l’implant.
Implants multiples : remplacement de plusieurs racines manquantes
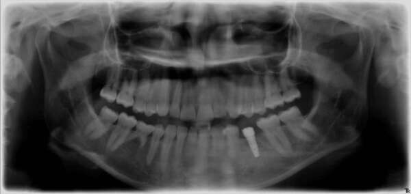
Une dent (racines) manquante remplacée par un implant
Les implants en images - Sommaire
Sinus lift : greffe osseuse par élévation de la membrane du plancher du sinus maxillaire.
Diaporama illustrant les étapes de la pose chirurgicale de deux implants dentaires à Paris.
- Fiches conseils (110)
- Vidéos 3D (42)












